Contact Us

Send Us an Email

Whitening, Cosmetic Dentistry & Invisalign

WHITENING

Tooth whitening, commonly known as bleaching is a safe and effective way to improve your smile.  This process removes the stains embedded in the enamel of your teeth caused by the various foods and liquids that we consume on a daily basis.  These procedures do not weaken or harm the enamel, gums or soft tissues. This can be conveniently done at home or in our office.

.   .


INVISALIGN

Minor to comprehensive teeth movement can now be done without the aid of metal brackets and wires. Invisalign utilizes clear, removable aligners to sequentially move teeth into proper position. Eliminate unsightly crowding of your front and back teeth improving your smile, ability to comfortably function and maintain your healthy gums. Before and after computer generated models allow us to view the final result prior to committing or initiating treatment. Achieve the smile you have always envisioned!

.   .

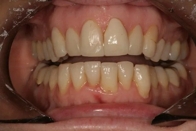
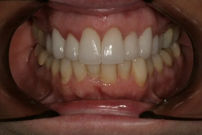
COSMETIC DENTISTRY

Simple space closing, tooth enhancements and color change procedures require little to no drilling or needles. More comprehensive smile re-designs can be worked up, viewed and evaluated prior to any treatment being performed. Advances in materials and ceramics allow single teeth up to entire smile makeovers to be completed in as few as 1-3 appointments. Allow us to show you what is possible in the world of cosmetic dentistry. 

.   .

Our Location

Find us on the map

Hours of Operation

Our Regular Schedule

Monday:

8:00 am-5:00 pm

Tuesday:

8:00 am-5:00 pm

Wednesday:

3rd: 2:00 pm to 7:00 pm

Thursday:

10:00 am-7:00 pm

Friday:

Closed

Saturday:

1st & 3rd: 8:00 am to 1:00 pm

Sunday:

Closed